자가골을 이용한 체부볼륨 증대술
(feat. 주걱턱 긴얼굴 양악수술)
흔히 양악수술이라고 부르는 악교정수술은
골격적 부조화를 이루는 상악과 하악의 위치 관계를 바로잡아
치아를 잘 맞도록 하기 위한 목적으로 시행되는 수술입니다.
단순히 치아의 교합만을 개선하고자 한다면
상악이나 하악 둘 중 하나만을 이동해도 무방하긴 하지만
조금 더 이상적인 치아의 각도나 대칭성, 조화로운 안모로 개선하고자 한다면
양악수술을 통해 조금 더 완성도 있는 수술을 할 수 있습니다.
또한 상악과 하악의 위치를 계획에 따라 이동시키고 단단히 고정한 이후
얼굴 외형의 방점을 찍는 과정이 턱끝수술을 포함하는 하악 윤곽수술입니다.
추가적인 수술 과정이 필요하긴 하지만 같은 수술 범위에 있기 때문에
환자분이 만족하실 수 있도록 할 수 있는 것은 전부 해 드리려고 노력하고 있습니다.
이번에 소개드릴 환자는 골격성 3급 부정교합을 가진 환자입니다.
주걱턱, 긴얼굴, 비대칭을 해결하고자 저희 병원에 내원하셨고
양악수술과 윤곽수술을 병행하기로 하였습니다.
다만, 보통의 윤곽수술은
거의 대부분 크기를 줄이거나 볼륨을 감소하는 데 목적을 두는데 반해
이 케이스에서는 길이는 축소하되 볼륨을 증가시키는 윤곽수술을 시행하였습니다.

아랫치아가 앞으로 나와 있는 3급 부정교합이지만
상대적으로 턱끝은 뒤로 들어가 보이는 경우입니다.
이런 경우에 치아를 맞추고 나면 턱끝은 심하게 뒤로 들어가 보이게 되고
이를 보상하기 위해서는 턱끝 전진량이 꽤 많을 수밖에 없습니다.
(이런 경우에 과도하게 갸름한 얼굴이 될 수 있습니다..)
사각턱 부위를 제외한 얼굴 전체의 길이는 줄이고,
치아를 맞추느라 뒤로 들어간 턱끝은 자연스럽게 다시 앞으로 꺼내면서
하악 체부의 볼륨 또한 증가 시키기 위한 윤곽수술이
이 환자분의 수술에서 가장 중요한 과정이었습니다.
턱끝을 2단으로 절골하여 가운데 뼈를 제거하는 샌드위치 테크닉으로
턱끝의 길이를 5mm 줄이면서 앞으로 6mm 전진 시켰고,
단차가 생긴 뒷부분의 하악 하연을 매끄럽게 잘라낸 후 잘 다듬어서
앞턱 전체를 감싸면서 체부볼륨이 증가 될 수 있도록 이식하였습니다.

(아래에서 잘라내고 옆으로 붙인다..!)
잘라낸 뼈를 이동 시켜 고정하고 나니
길이를 줄이고 전진만 해 놓았을 때보다 훨씬 조화로운 안모로 보였고
만족스럽게 수술을 잘 마무리 하였습니다.
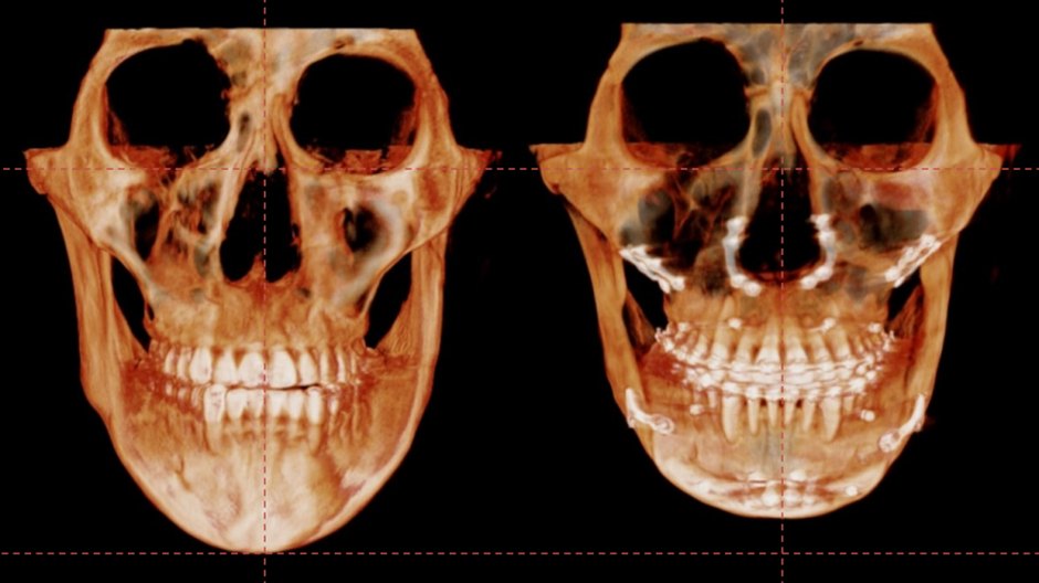
수술 3개월이 경과한 시점에 촬영한 CT입니다.






이식한 뼈는 자연스럽게 리모델링 되면서
거의 흡수 없이 잘 생착 된 상태로 회복하였습니다.
길이를 줄이기 위해 하악 하연을 잘라내면
어쩔 수 없이 하악체부의 볼륨은 감소하게 됩니다.
하관이 크고 넓은 환자는
이 과정이 얼굴을 조금 더 작고 갸름하게 만들어 주기 때문에
긍정적인 영향을 미치기도 하지만
하관이 좁고 갸름한 안모를 가진 환자에서는
어색한 얼굴이 될 수 있기 때문에
이런 방식의 수술을 통해 조금 더 조화롭고 균형 있는 얼굴로 개선시켜 드릴 수 있습니다.
이런 수술 방법을 이용하기 적합한 케이스가 한정적이긴 하겠지만
여러모로 고려한다면
추후에 보형물을 이용해 재건하는 경우보다는 훨씬 안정적인 수술이 될 수 있습니다.
(물론 수술은 좀 더 어렵고 수고롭긴합니다..)
3개월차에 촬영한 사진입니다.


늘 해 오던 것처럼 단순히 3급 부정교합 환자의 양악수술이라고 여기고
분석된 수치에 맞춰 상/하악을 이동하는 것 뿐만 아니라
이 환자분 수술의 목표는 조금 더 구체적으로 설정하였습니다.
부정교합 치료,
비대칭 개선,
얼굴 길이의 충분한 축소,
체부볼륨을 최대한 유지하거나 증가 시킬 것,
치아는 나와있지만 무턱 경향을 보이는
측면 profile을 조화롭게 만들기
모든 수술은 전체적인 과정을 놓고 보면 동일한 과정으로 이루어지긴 합니다.
다만, 디테일하게는 조금씩 다른 방식으로 접근해서
조금 더 만족스러운 결과를 만들어 드리는게 옳다고 생각합니다.
항상 환자분이 만족하는 수술을 할 수 있도록 노력하겠습니다.
(윤곽수술 후 불만족 환자의 양악수술 : 서울페이스21 네이버 블로그)