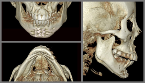
치과소수술
예쁜 미소를 완성하는 디테일
서울페이스21 소개
작은 부위이기에 더욱 섬세하게,
고난도 턱끝의 미학으로 정교하고 우아한 턱끝을 완성합니다.
무턱, 밋밋한 턱끝, 좌우가 비대칭인 턱, 너무 길거나 짧은 턱을 가진 경우에는
얼굴 전체의 인상이 흐릿하고 밋밋해 보일 수 있습니다.
이럴 땐 단순한 절제나 밀어내는 방식이 아닌,
얼굴의 구조와 조화를 고려한 ‘설계된 수술’이 필요합니다.
서울페이스21은 골접촉이 가능한 선에서 최대 전진하는 독자적인 수술법으로
어렵고 심한 무턱 케이스도 충분히 좋은 수술 결과를 얻을 수 있도록 합니다.

일반적인 전진술보다 전진량을 더 확보할 수 있으며,
턱 끝의 볼륨과 곡선을 살리는 디자인으로
자연스럽고 입체적인 결과를 만듭니다.

골 접촉이 가능한 범위 내에서
턱끝을 최대한 전진시키고, 곡선을 살리는 디자인으로
입체적인 얼굴선을 완성합니다.
1시간
※ 환자에 따라 개인차가전신마취
1일
2회
약 2주
간단한 수술, 신경손상에 안전, 전진시 갸름한 정면 효과
왜소한 턱끝, 체부볼륨이 부족해 보일 가능성
골접촉이 가능한 선에서 최대 전진 가능
체부볼륨을 살려주는 디자인
골접촉량이 많고 단단한 고정으로 인해 턱끝 뼈흡수가 적음
뼈 이식술을 동반하여 턱끝 길이 연장 및 볼륨 증가 가능
왜소한 턱끝, 체부볼륨이 부족해 보일 가능성
턱끝이 짧고
후퇴한 인상을
개선하고 싶은 경우
턱 라인이 뭉툭하고
입체감이
부족한 얼굴형
무턱으로 인해
입이 돌출되어
보이는 경우
자연스럽고
매끄러운 곡선의
턱 라인을 원할 때
1시간
※ 환자에 따라 개인차가전신마취
1일
2회
약 2주
절골선의 계단현상, 체부볼륨 부족 현상
절골선의 계단현상, 체부볼륨 부족 현상
일반 전진술보다 전진량을 더 많이 가져갈 수 있음
체부볼륨을 살려주는 디자인
골접촉량이 많고 단단한 고정으로 인해 턱끝 뼈흡수가 적음
뼈 이식술을 동반하여 턱끝 길이 연장 및 볼륨 증가 가능
난도 높은 수술
일반 턱끝 수술로는
전진량이
부족한 경우
입체적인 턱 라인을
만들고 싶지만
골 접촉이
필요한 상황
턱끝이
많이 후퇴해 있어
더욱 확실한 개선이
필요한 경우
턱끝 길이와
볼륨 증가까지
동시에 원하는 경우
서울페이스21에서는 가능합니다.

절골선의 뼈 두께가 얇은경우 전진량이 제한적일 수 있음
전진 시 체부의 step 현상 발생
절골된 골편의 크기가 작고,전진량이 4mm 이상일 경우
입꼬리 아래의 볼륨 부족 현상
아래 입술과 턱끝 사이의 골이 깊어질 수 있음

체부볼륨을 살려주는 절골선 디자인
전진시 계단현상(step)을 최소화하는 디자인, 볼륨을 해치지 않는 shaving
연조직 꺼짐 현상을 최소화 하는 뼈 이식을 동반
해부학적 구조를 고려하여 아래턱과 치아의 감각신경 손상을 최소화
얼굴 전체의 밸런스를 고려한 2단 전진, 뼈가 얇은 경우에도 최대 전진 가능
골편의 미세한 흔들림(micro-movement)을 최소화한 고정(뼈 흡수를 최소화)
회복 이후 연조직의 형태를 고려하여 골막과 근육의 모양을 알맞게 재배치

최적의 수술 컨디션을 위한
고압산소요법
수술 후 빠른 붓기 회복을 돕는
붓기 완화 레이저
빠른 회복을 도모하는
수액요법
수술 후 불편함을 줄이고 위생적인
원내 샴푸실 샴푸서비스미니 V라인·턱끝수술 | 부담은 줄이고 라인은 살리는, 서울페이스21
미니 V라인·턱끝수술은 턱 라인만 섬세하게 다듬고 싶은 분들을 위한 수술입니다. 서울페이스21은 개개인의 턱뼈와 얼굴형을 분석해 자연스럽고 입체적인 V라인을 설계해 드립니다.
시각장애인을 위한 텍스트 정보 영역입니다.