홈으로 이동하기 이벤트페이지로 이동하기 사업자정보로 이동하기
서울페이스21 강남치과 강남구강악안면외과

재수술

되ː찾다 SIGNATURE

  • 재수술

  • · 윤곽수술 후 양악수술
    · 양악수술 후 양악재수술
    · 돌출입수술 후 양악수술
    · 윤곽수술 후 윤곽재수술
  • 재건수술

  • · 3D 개인맞춤

치아교정

고르게 채우는 자신감

치아는 지키고, 자신감은 높게.

첫 인상을 결정짓는 아름다운 미소
“페이스네이트”로 완성합니다.

라미네이트

불필요한 치아 삭제 없이,
본연의 치아를 지키는 라미네이트

이미지

임플란트는 치아를 상실했을 때, 치아의 빈자리에 인공 치근을 식립한 뒤
치아의 외형과 흡사한 크라운을 연결하여
치아의 저작 기능과 심미적인 외형을 회복하는 치료를 말합니다.

서울페이스21은
보철과·구강악안면외과·교정과의 긴밀한 협진으로
편안하고 자연스러운 임플란트를 완성합니다.

라미네이트가 필요한 케이스

  • 치아 색상이
    어두운 경우

  • 앞니의 형태가
    비대칭이거나
    벌어진 경우

  • 치아 표면이
    마모되었거나
    깨진 경우

  • 치아가 작거나
    돌출이 있는 경우

서울페이스21만의 특별함

거슬림 없이 자연스럽게,
서울페이스21의 라미네이트 기술력

Special. 01 치아 외형, 굴곡을 살린 보철 디자인 설계

각 치아의 외형과 굴곡을 정밀하게 설계하여
개개인에게 가장 조화로운 미소를 완성합니다.
치아의 자연스러운 흐름과 빛의 투과까지 고려해
투명도와 색상의 다양한 레벨을 세밀하게 구현함으로써,
자연치에 가까운 생동감 있는 결과를 제공합니다.

  • 이미지
  • 이미지
Special. 02 튼튼함을 만드는 접착 기술력

환자분들의 만족과 안심을 위해,
인체에 무해한 친환경 접착제를 사용하고,
세심한 접착 기술을 통해 라미네이트가 단단하게 고정되도록 합니다.
사용되는 모든 재료는 안전성과 품질을 철저히 검토한 제품만을 선택하여
오랜 시간 안정적인 결과를 유지할 수 있도록 합니다.

라미네이트 진행 과정

꼭 필요한 부위만 최소한으로 삭제해,
보다 자연스러운 치아 라인을 완성합니다.

STEP 01

STEP 02

STEP 03

STEP 04

이미지
상담 및 진단STEP 01

환자와의 충분한 상담과 디지털 스캔으로
치아 상태, 크기, 색상, 배열 등 요소들을
꼼꼼하게 분석하여 치료 계획을 설계합니다.

이미지
최소 삭제 & 임시 보철물STEP 02

라미네이트를 부착하기 위해
치아의 표면을 다듬고
이 과정에서 임시 보철물을 부착해
미리 치아 모양과 색상을 확인합니다.

이미지
맞춤 제작, 최종STEP 03

치아의 색상, 형태, 투명도 등 고려하여
맞춤 제작된 라미네이트는 견고하게 접착합니다.
이후 교합과 외형을 섬세하게 조정하여
자연스러운 미소를 완성합니다.

이미지
유지 관리STEP 04

치료 후 정기적인 체크업을 통해
치아 및 라미네이트의 유지 상태를 점검합니다.
환자에게 적절한 관리 방법을
안내하여, 오랜 기간 유지할 수 있도록 돕습니다.

라미네이트,
왜 서울페이스 21이어야 할까요?

#01

협진으로 완성하는 결과

#02

장비에 대한 아낌없는 투자

#03

치료 후에도 걱정없는 관리

이미지
#01대학병원 시스템 - 각 전문의의 협진으로 완성하는 결과
전문가 협진으로 완성하는
기능과 심미의 조화

서울페이스21은 구강악안면외과 전문의와 치과보철과 전문의가 협력하여
진단부터 치료, 보철, 사후 관리까지 치과 치료의 전 과정을 정밀하게 진행합니다.

각 분야의 숙련된 전문의들이 협진함으로써
기능적 회복은 물론, 심미적으로도 만족스러운 치료 결과를 완성합니다.

이미지
#02장비에 대한 아낌없는 투자
고성능 장비로 완성하는
한층 더 정밀한 진료

서울페이스21은 디지털 스캔, X-ray, 3D-CT 등
정밀 진단 장비에 아낌없이 투자하여,
환자 개개인의 구강 구조를 면밀하게 분석합니다.

정밀한 진단과 체계적인 계획 아래,
환자분이 안심하고 진료받을 수 있도록 최선을 다하고 있습니다.

이미지
#03치료 후에도 걱정없는 관리
치료 이후까지 관리해주는
구강 건강 주치의

서울페이스21은 단기적인 치료 결과에만 집중하지 않습니다.
환자의 장기적인 구강 건강과 지속 가능한 치료 효과를 최우선으로 생각합니다.

모든 치료에 있어 검증된 재료와 정밀한 진단 장비를 사용하여
오랫동안 안정적으로 유지될 수 있는 기반을 마련하고 있으며,
문제가 생기지 않도록 예방 중심의 사후 관리 시스템도 체계적으로 운영하고 있습니다.

치과보철과 전문의의 책임 진료로
내 치아처럼 자연스러운 결과를 약속드립니다.

이미지 로고

라미네이트는 치아의 형태와 색상, 투명도, 교합 등
여러 요소를 정교하게 고려해야 하는 섬세한 진료입니다.
치아 삭제 범위부터 디자인, 접착 과정까지
작은 차이가 결과의 완성도를 좌우하기 때문에
치료 경험이 풍부한 의료진의 진료가 무엇보다 중요합니다.

서울페이스21은 보철과 전문의가 직접 진단부터 시술까지 책임지고 진료하며,
환자 개개인의 치아 상태에 맞춘 맞춤형 라미네이트 치료를 제공합니다.

단순히 겉모습을 바꾸는 것이 아닌,
자연 치아처럼 오래도록 유지될 수 있도록
기능과 심미성을 모두 고려한 치료를 계획합니다.

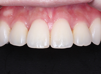
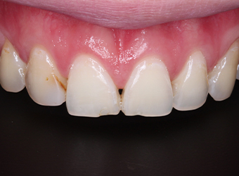
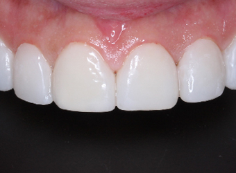
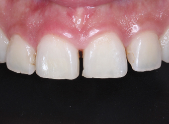
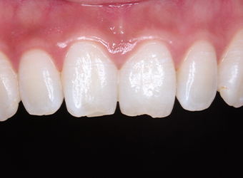
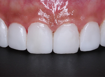
서울페이스21은 결과로 증명합니다.
Before & After

시술전

Before

시술후

After

시술전

Before

시술후

After

시술전

Before

시술후

After

시술전

Before

시술후

After