홈으로 이동하기 이벤트페이지로 이동하기 사업자정보로 이동하기
서울페이스21 강남치과 강남구강악안면외과

재수술

되ː찾다 SIGNATURE

  • 재수술

  • · 윤곽수술 후 양악수술
    · 양악수술 후 양악재수술
    · 돌출입수술 후 양악수술
    · 윤곽수술 후 윤곽재수술
  • 재건수술

  • · 3D 개인맞춤

치아교정

고르게 채우는 자신감

3D simulation을 통한 예측가능한 양악수술

3D simulation을 통한 예측가능한 양악수술

 

우리나라에서 본격적으로 양악수술이 시행된 지 대략 20년 정도 시간이 흘렀습니다.

치료의 방법으로써 수술의 역사가 20년이라는 것은 길다면 길지만 실제로는 그다지 긴 시간이 아닙니다.

물론 윗턱과 아래턱의 위치를 이동하는 초창기 고안되고 개발된 수술의 역사는 그보다도 훨씬 이전에 시작되기는 하였지만

전 세계적으로 볼 때 1969년 ‘Obwegesser’가 ‘Le fort 1급’ ‘골절단술에 대한 보고 이후로 본격적인 발전이 이루어졌고,

국내에서는 서울치대 민병일 교수님께서 1981년에 첫 수술을 시행하신 이후로 본격적인 발전이 시작되었다고 보고 있습니다.

 

양악 수술은 일반적으로 뼈를 성형한다는 의미에서 Osteo(뼈) + Plasty(성형술)이라 할 수 있지만,

정확히 말하자면 Ortho(옳은, 바른) + Gnathic(턱의) + Surgery(수술)라고 하는 게 맞습니다.

'턱을 바르게 하는 수술' 즉 악교정수술입니다.

모양이나 형태를 바꿔주는 것이 아닌

(물론, 동시에 윤곽수술을 통해 필요한 부분을 다듬거나 절제하긴 합니다만..)

위치를 바꾸는 수술이 바로 악교정수술(양악수술)입니다.

여기에서 위치는 기울기, 전반적인 편위, 회전 등을 포함하며 쉽게 얘기하면 얼굴의 축을 교정한다고 할 수 있습니다.

 

 

애초에 악교정수술을 시행하게 된 계기는 (물론 균형 있는 얼굴을 만들고자 하는 노력도 있었지만)

교정 치료만으로 해결할 수 없는 치아가 위치한 턱뼈의 위치 부조화 개선을 통하여

치아를 올바르게 맞춰 부정교합을 정상교합으로 만들어 주고자 함입니다.

따라서 치아의 위치와 교합을 맞추는 것을 1차적 목표로 삼고 그에 맞추어 턱뼈를 이동하게 됩니다.

 

조금 어려운 내용일 수 있는데 이 말에는 조금의 함정이 존재합니다.

턱의 위치를 올바르게 잡아주기 위하여 치아를 기준 삼아 이동하는 데에는

'턱뼈와 치아의 위치가 대칭적으로 위치해 있어야 한다'라는 전제가 필요합니다.

즉, 치아의 위치를 대칭적으로 이동하여 턱뼈를 대칭적으로 만들어 주기 위해서는

치아와 턱뼈의 대칭적 차이가 없어야 치아를 맞추었을 때 턱뼈 또한 비대칭을 보이지 않는다는 것입니다.

 

 

안타깝게도 악교정수술(양악수술)을 시행하는 의사들에게 늘 현실이 녹록지 않듯이

대부분의 환자에서 정도의 차이는 있긴 하지만 턱뼈와 치아의 대칭적 관계는 거의 없다고 볼 수 있습니다.

그래서 늘 수없이 많은 시간을 투자하여 어떻게 하면 더 대칭적으로 만들 수 있을까 하는 고민이 계속 이어져 왔고,

어디까지나 100퍼센트 일치하지는 않더라도 최대한 대칭적으로 바로잡아 보고자 하는

상상을 통한 시뮬레이션과 모형수술을 통해 수술을 시행해 왔습니다.

하지만 3D 시뮬레이션이 개발되고 시행되기 시작하면서

그간의 이러한 고민들이 어렵지 않게 더 쉽고 빠르게 해결할 수 있도록 시대의 변화가 시작되었습니다.

 

3D 시뮬레이션과 더불어 초정밀 3D 프린팅 기술의 발달로 인해

이제는 과거의 2D 시뮬레이션과 기공작업을 통해 준비했던 양악수술은

3D를 통하여 더욱 가시적이고 직관적인 방향으로 수술을 계획할 수 있게 되었고,

그 내용을 바탕으로 프린팅 하여 제작하는 수술용 장치의 정확도와 적합성이 획기적으로 개선됨에 따라

이제는 기공작업이 필요 없이 세련된 방향으로 수술을 계획하고 준비하고 있습니다.

 

 

앞서 말씀드린 것과 같이 뼈와 치아의 관계가 대칭적이지 못한 경우에

보통 선교정을 통하여 어느 정도는 대칭을 이루는 방향으로 조절을 하게 되지만

수술을 먼저 하는 경우에는 이를 예측하기가 더 난해할 수 있습니다.

또한 어느 정도의 부정교합을 가지고 있기는 하지만 

교정치료를 원하지 않아 기존 교합 관계를 그대로 가지고 수술을 시행하고 교정치료를 시행하지 않는 경우에서는

비대칭을 개선하기에는 어느 정도 한계가 있을 수 있고 예측 또한 어려울 수 있습니다.

이런 경우에 더욱더 유용하게 사용되는 것이 3D 시뮬레이션입니다.

 

 

이제 보여드릴 환자는 안면비대칭을 해결하고자 내원한 환자분입니다.

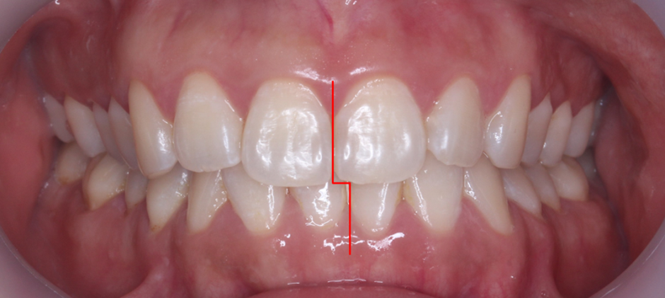
좌측으로 틀어진 얼굴을 바로잡아야 하는 상태이며 비대칭이 있는 좌측으로 아래치아의 변위가 있는 상태입니다.

 

 

 

치아의 축 자체가 비대칭이 향한 반대 방향으로 기울어져 있는 상태이며, 

하악골의 중심은 치아가 틀어져 있는 것보다 더 많이 좌측으로 틀어져 있는 상태입니다. 

 

 

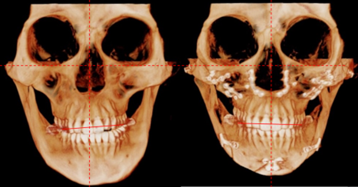
여러 번의 수정을 거쳐 정면에서 아래턱의 수평을 맞추는 대신 상악 치아의 기울기(canting)를 정상보다 더 과하게 수정하였습니다.

하악의 중심을 얼굴의 중심까지 완전히 가져오기 위해서는 상/하악 중심선을 맞추게 하는 것이 더 이상적일 수 있지만,

교정 치료를 원하지 않는 환자분의 요구사항을 반영하여 해결되지 않는 턱 끝의 비대칭을 윤곽수술을 통하여

3mm가량 우측이동하여 개선시킬 계획을 가지고 수술을 할 수 있었습니다.

 

하악의 수평회전(yawing) 또한 0.1mm 단위로 수정하여

입꼬리 하방에서의 안면윤곽의 볼륨이 대칭적으로 보일 수 있게 조정하였습니다.

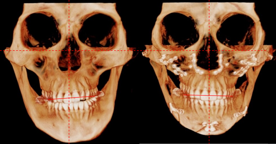
기존의 기공작업을 통한 모형수술을 이 부분을 수정하고 개선하는 것에 대한 예측이 어려운 경우가 많았습니다.

준비한 대로 수술을 시행하고 추가적으로 턱끝의 비대칭을 개선하는 윤곽수술을 시행한 수술 후 환자의 전/후 비교입니다.

 

 

시뮬레이션을 통해 계획하고 준비했던 대로 수술은 문제없이 잘 이루어졌고,

예측에서 벗어나지 않는 결과를 보이고 있습니다.

좌측으로 틀어져 있는 골격의 대칭성이 꽤 성공적으로 개선되었습니다.

과거에는 이렇게 대칭을 맞추는 양악수술을 시행하면서 어느 정도의 분석과 더불어 상상력을 가미한 예측을 통해 수술을 준비했고

수술장에서 수술하면서 일부 수정하거나 조정하는 경우가 많았습니다.

그러다 보면 여러 가지 착오나 착시로 인해 판단이 제대로 서기가 어려울 수도 있었고 어려움을 겪는 경우도 종종 있었습니다.

수술을 시행하는 과정에서 instant modification은 좋은 결과를 가져올 수도,

괜한 수정으로 오히려 역효과를 낼 수도 있기 때문에

사전에 이렇게 직관적으로 확인하고 준비된 계획을 마련하여 수술하는 것은 정확한 수술을 하기에 매우 안정적인 결과를 가져옵니다.

 

눈부신 공학의 발전과 더불어 이러한 기술을 양악수술 분야에 적용하고자 수없이 많은 노력을 기울이신 선배, 동료 선생님들의 노고가

환자분들께 수술 준비 과정에서 걱정 근심을 덜어줄 수 있고 수술 후에는 만족과 행복을 드릴 수 있게 되었습니다.

 

 

실제 3D 시뮬레이션을 하다 보면 보여드린 것보다 훨씬 많은 정보를 가지고 수술에 임할 수 있습니다.

뼈를 이동시키기 위해서 어디에서 얼마큼 절제해 내야 하는지, 턱관절의 변화는 어떻게 되는지,

윤곽수술을 어떤 방향으로 계획하고 얼마큼 잘라내야 하는지 등등 가지고 있는 정보가 정확하면서 많으면 많을수록

수술 중에 판단을 위한 노력은 줄어들고 수술 시간 또한 단축될 수 있습니다.

물론 기본적으로 수술에 대한 경험과 노하우가 충분해야 합니다.

3D CT를 통하여 골격구조의 대칭성을 맞추려 노력하는 것과 동시에

얼굴의 비대칭은 단순하게 골격의 대칭성만을 생각하여 수술 계획을 세우는 것을 조심할 필요가 있습니다.

근육의 두께 차이와 좌우 눈의 높낮이, 입술의 모양, 코의 휘어진 상태 등을 종합적으로 고려하고

이를 반영한 수술 계획을 만들어야 조화로운 얼굴을 만들어 줄 수 있습니다.

 

 

3D를 통한 양악수술의 이점만을 설명 드리긴 했지만

3D 시뮬레이션은 어디까지나 골격의 변화만을 계획할 수 있게 해주는 단계에 있는 한계가 있긴 합니다.

비대칭을 보이는 이유가 단순히 골격적인 문제에 국한되어 있는 것이 아니고

연조직의 모양이나 두께 차이, 바로 서있는 얼굴의 각도나 자세 등등

여러 가지의 요소가 복합적으로 이루어 지는 것이기 때문입니다.

매 환자마다 서로 다른 여러 가지 모습들과 호소하는 주 증상을 해결해 드리기 위하여 꼼꼼히 살펴 계획하고,

그것을 실제 수술에 잘 녹여내는 것은 당연히 중요합니다.

또한 예상했던 부족한 부분이나, 예상하지 못했던 부족한 부분을 수술 중에 정확히 집어내고 마무리하는 노력을 통해

환자분들에게 최선의 결과를 주기 위해 노력하는 병원이 되도록 노력하겠습니다.

 

 

(3D simulation을 통한 예측가능한 양.. : 서울페이스21 네이버블로그)

 

1